
- Rounded, softer tooth edges — less angularity
- Slightly longer central incisors for a graceful smile arc
- Brighter, lighter shade — typically higher value whites
- Curved smile line following the lower lip contour
- Slightly smaller lateral incisors for a delicate, tapered look
- Subtle incisal translucency for a natural, feminine depth
- Squarer, more defined tooth edges
- Flatter smile arc — less curved, more uniform
- Natural, slightly deeper shade — less stark white
- More equal incisor lengths — less variation in height
- Wider central incisors for a broader, stronger smile
- Reduced translucency for a more solid, defined appearance
Every smile design begins with a digital analysis of your facial structure, lip shape, and smile arc. Dr. Ice uses Digital Smile Design (DSD) technology to show you a simulation of your expected result before any tooth preparation begins — so you can see and adjust your smile before committing.

Veneer Options at APS — Composite and Ceramic
- Material: Tooth-coloured resin applied and sculpted directly or via injectable template
- Sessions: 1 day (direct) or 2 visits over ~1 week (injectable)
- Duration: 3–4 hours for 10 teeth
- Longevity: 3–5 years
- Enamel removal: Minimal or none in most cases
- Reversible: Yes, if no enamel reduction was done
- Best for: Patients wanting fast results, shorter Bangkok stays, or a lower-cost option before committing to ceramic
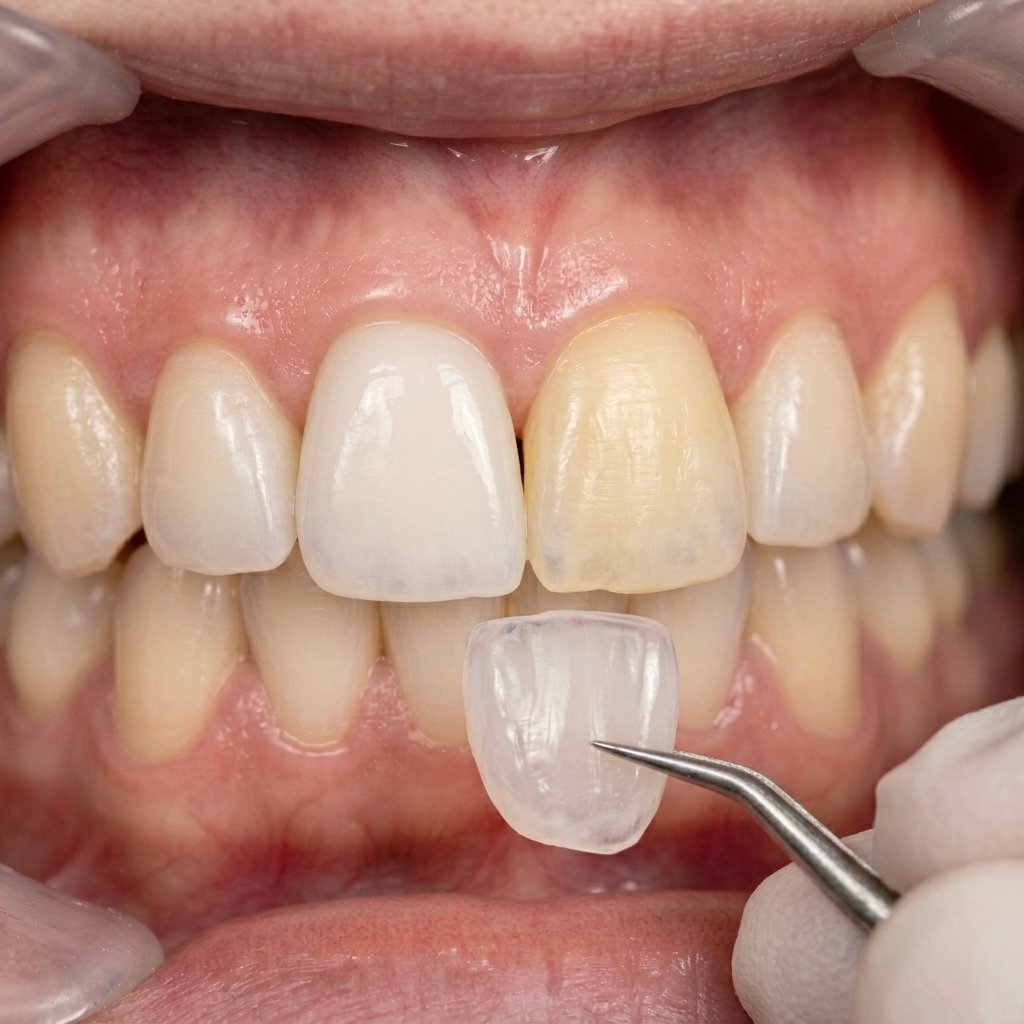
- Material: Amber Hass ceramic — lab-fabricated, high translucency and strength
- Sessions: 3 visits over 2–3 weeks
- Duration: 2–3 hours per prep/placement session
- Longevity: ~10 years
- Enamel removal: 0.3–0.5 mm reduction required
- Reversible: Complex — tooth must be covered after removal
- Best for: Patients wanting the most natural, durable, high-shine result and who have 2–3 weeks in Bangkok
Side-By-Side Veneer Comparison Table
| Factor | Composite | Ceramic |
|---|---|---|
| Material | Composite resin | Amber Hass ceramic (lab-made) |
| Visits | 1 day or 2 visits (~1 week) | 3 visits over 2–3 weeks |
| Longevity | 3+ years | 10+ years |
| Appearance | Natural, good shine | High translucency, superior shine |
| Stain resistance | Moderate — avoid coffee, wine | High — very stain resistant |
| Enamel removal | Minimal or none | 0.3–0.5 mm |
| Reversibility | Yes (if no enamel reduction) | No — tooth must be covered after |
| Ideal Bangkok stay | 1 day to 1 week | 2–3 weeks |
| Best combined with surgery? | ✓ Perfect — done same week as surgery prep | ✓ Ideal — timed around surgery recovery |

Ceramic Venners Timeline
Visit 1: Consultation & Records
Visit 1 with Dr. Ice: full smile consultation, digital records, X-rays, photos, Digital Smile Design simulation
Duration: 1–2 hours. Scheduled during your pre-surgical consultation days in Bangkok
Visit 2: Tooth Preparation & Temporaries
Visit 2 takes place before your surgery date — tooth preparation, impressions for the lab, temporary veneers placed
Duration: 2–3 hours. You recover from surgery wearing your temporary veneers.
Visit 3: Final Veneer Placement
Visit 3 takes place approximately 2 weeks after surgery, during your hotel recovery stay. Lab ceramics are ready. Final placement: 2–3 hours. You fly home with both mostly recovered from your SRS and with your new smile complete.
Composite Venners Timeline
Visit 1: Consultation & Records
Visit 1 with Dr. Ice: full smile consultation, digital records, X-rays, photos, Digital Smile Design simulation
Duration: 1–2 hours. Scheduled during your pre-surgical consultation days in Bangkok
Visit 2: Tooth Preparation & Final Veneer Placement
Visit 2 with Dr. Ice allows him to apply direct composite veneers. These veneers can be completed in a single day during your SRS recovery.
Duration: 2–3 hours
Tell us you’d like to add veneers when you contact APS for your surgical consultation — we’ll coordinate the scheduling with Dr. Ice’s team so everything fits seamlessly into your Bangkok stay.

- Consultation & Digital Smile Design
- Direct composite or injectable option
- Upper 10 teeth covered
- Completed in 1 day or 2 visits (~1 week)
- Consultation & Digital Smile Design
- Direct composite or injectable option
- Upper 10 + Lower 8 teeth covered
- Completed in 1–2 days or 2 visits
- Consultation, X-rays & Digital Smile Design
- 3 visits over 2–3 weeks
- Amber Hass ceramic material
- Temporary veneers included
- Upper 10 teeth — full visible smile zone
- Consultation, X-rays & Digital Smile Design
- 3 visits over 2–3 weeks
- Amber Hass ceramic material
- Temporary veneers included
- Complete upper and lower smile transformation
APS’s Leading Doctor of Dental Surgery
- Doctor of Dental Surgery, Faculty of Dentistry, Chiang Mai University
- Specialist in aesthetic dentistry and Digital Smile Design (DSD)
- 15+ years of clinical experience in cosmetic dentistry in Bangkok
- Advanced Anterior Aesthetics — Aesthetics & Digital Dentistry Academy, Singapore
- Veneer Bootcamp Course certified, 2022
- Digital Dental Photography Master Class, Singapore
- Comprehensive Full Mouth Oral Rehabilitation, Chiang Mai University
- Patients include celebrities and beauty pageant contestants

DDS (Doctor of Dental Surgery) is the internationally recognised clinical doctorate in dentistry — the equivalent of an MD in medicine, specialising in the diagnosis, prevention, and treatment of oral health conditions. Dr. Ice holds a DDS from Chiang Mai University and has dedicated his career to aesthetic and cosmetic dentistry, with particular expertise in digital smile design and veneer artistry. His work spans patients from across Southeast Asia and internationally, including the beauty pageant and entertainment industry — where precision aesthetics and naturalness of result are paramount.

- Brush at least twice daily and floss daily to prevent gum inflammation around the veneer margins
- Avoid biting very hard or sticky foods — ice, hard sweets, or using teeth as tools
- If you have composite veneers, limit dark-coloured drinks (coffee, tea, red wine) and have them polished every 6 months
- Schedule a dental check-up every 6 months — this can be done with your dentist at home
- If you grind your teeth, discuss a night guard with Dr. Ice during your consultation — this is especially important for ceramic veneer longevity
ℹ️ For all patients: With proper care, composite veneers last 3–5 years and ceramic veneers approximately 10 years.

Yes — and this is one of the most practical ways to complete your smile transformation without a second international trip. For composite veneers, treatment can often be completed in a single day or across two appointments within one week. For ceramic veneers, three appointments are needed over 2–3 weeks — which fits naturally around a surgical recovery stay in Bangkok. APS coordinates scheduling between Dr. Ice’s dental team and your surgical appointments so everything works within your Bangkok timeline. Let us know you’d like to add veneers when you contact APS for your surgery consultation.
Composite veneers are made from tooth-coloured resin that is applied and sculpted directly onto your teeth — or injected using a template — and can be completed in one day or two visits within a week. They last approximately 3–5 years and are the more affordable option. Ceramic veneers are lab-fabricated from Amber Hass ceramic material, require three visits over 2–3 weeks, last approximately 10 years, and offer superior translucency, shine, and stain resistance. If you want the most natural-looking, durable, long-term result, ceramic is the stronger investment. If you want fast results or a lower commitment, composite is an excellent starting point.
Yes — and this is a specific focus of APS’s dental offering. The shape, length, curvature, and shade of dental veneers carry strong gender signals. Feminine smile designs typically feature rounder, longer central incisors, a curved smile arc, and lighter shades. Masculine designs tend toward squarer, more uniform teeth with flatter smile arcs and slightly deeper, more natural tones. Dr. Ice uses Digital Smile Design (DSD) technology to create a simulation tailored to your facial features and gender identity goals before any tooth preparation begins — so you can see and adjust your result before committing.
For a full smile makeover, APS’s packages cover the upper 10 teeth (the full visible zone when smiling) or upper 10 plus lower 8 teeth. For patients who only need specific teeth addressed — such as a chipped tooth or colour mismatch — individual teeth can also be treated. Dr. Ice will assess your smile and recommend how many teeth need to be covered to achieve a natural, balanced result during your consultation.
Composite veneers applied without enamel reduction can be removed with minimal impact on your natural teeth. Ceramic veneers require a small amount of enamel reduction (0.3–0.5 mm) — once this is done, the tooth surface must always be covered with a restoration, making them a long-term commitment. Dr. Ice will discuss the specific implications for your case during consultation, and for patients who are undecided, composite veneers offer a way to experience the result before committing to ceramic.
APS’s veneer packages start at ฿52,000 (~$1,425 USD / ~£1,120 GBP / ~$2,240 AUD) for a Composite Smile (upper 10 teeth) and ฿195,000 (~$5,340 USD / ~£4,185 GBP / ~$8,415 AUD) for a Ceramic Smile (upper 10 teeth). Equivalent ceramic veneer treatment in the UK typically costs £10,000–£15,000 for 10 teeth, and $10,000–$20,000 AUD in Australia. Bangkok pricing represents savings of 60–80% compared to Western countries for the same quality of materials and care — without compromising on the digital smile design process or the expertise of the treating dentist.







